Artemis Lab at Widener University

ARTEMIS Lab

ARTEMIS Lab is an interdisciplinary research facility advancing AI, robotics, and biomedical engineering through projects in automation, self-learning AI, machine vision, biomedical modeling, and human-machine integration.

Research Focus Areas

Artemis lab robotics 710x400

Engineering for the Future

In the ARTEMIS Lab, the boundaries of AI, robotics, and biomedical engineering are advanced through cutting-edge research, with emphasis on:

  • Custom-Made Robotics & Intelligent Automation
  • Self-Improving AI & Reasoning Systems
  • Medical AI & Disease Forecasting
  • Machine Vision & Motion Capture
  • Collaborative Robots for Manufacturing Lines
  • Intelligent Robotic Swarms & Autonomous Navigation
  • Human–Machine Integration & Cybernetics
  • Industrial IoT, Big Data, and Digital Twins
  • Innovative Applications of Metal 3D Printing

Learn More on ResearchGate

Ongoing Projects

Skywalker

Skywalker

Autonomous drone with smart flight, precise landing, and self-charging capabilities for delivery and monitoring.

Centaur is a multi-terrain ground robot for construction and urban monitoring.

CENTAUR

Multi-terrain ground robot for construction and urban monitoring, equipped with AI-driven navigation and hazard detection.

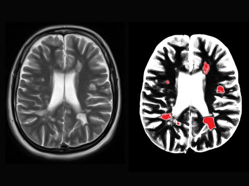
NeurOracle

NeurOracle

AI platform predicting neurological disease progression to support early diagnosis and personalized treatment.

thor's hammer 500x375

Thor's Hammer

Machine vision system analyzing hammer throwing biomechanics to optimize performance and prevent injuries.

Cardio Forecaster

CardioForecaster

AI tool assessing future cardiovascular risk using patient data for early intervention and prevention.

RoboSimVRX

RoboSimVRX

Real-time VR simulator for industrial machinery, enabling safe training and workflow optimization.

Ironman Chatbot

Ironman Chatbot

AI-powered humanoid robot for interactive communication, education, and responsive user engagement.

Latest ARTEMIS Lab News

Get in Touch